Röntgen
Was ist Röntgen?
Seit ihrer Entdeckung im Jahr 1895 durch Herrn Röntgen werden Röntgenstrahlen auch in der Medizin zur Durchleuchtung des menschlichen Körpers benutzt. Die kurzwelligen Röntgenstrahlen werden in einer elektrischen Röntgenröhre erzeugt und durchdringen den menschlichen Körper. Sie werden dabei von den verschiedenen Geweben unterschiedlich stark absorbiert und von einem digitalen Empfänger in ein Monitorbild („Röntgenbild") umgewandelt.
Welche Bedeutung hat das Röntgen heute?
Die Röntgendiagnostik ist auch heute noch das Basisverfahren in der Radiologie, da sie effektiv, schnell und vergleichsweise preiswert ist. Die Technik wurde jedoch stetig weiterentwickelt. Heute werden Röntgenbilder komplett digital angefertigt und befundet, auch die Strahlenbelastung für den Patienten wurde laufend herabgesetzt. Die Höhe der Strahlenbelastung, die ein Patient bei einer Röntgenuntersuchung des Brustkorbes erfährt, entspricht heute nur noch der Strahlenbelastung, der er während eines Transatlantik- Hin- und Rückflugs ausgesetzt ist.
Wozu werden Röntgenaufnahmen durchgeführt?
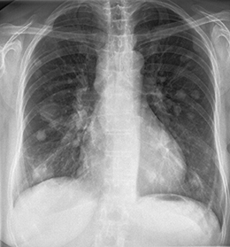
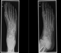
Röntgenuntersuchungen finden breite Anwendungen. Sie dienen u.a. zur Darstellung von Knochen und Gelenken nach Verletzungen, zur Beobachtung des Heilungsverlaufes nach Brüchen und Gelenkersatz, zur Beurteilung der Verschleißerscheinungen bei Arthrose, zum Nachweis von Tumoren (Mammographie), sowie zur Erfassung des Zustandes kranker Zähne. Sie werden auch zur Beurteilung der Lunge, des Bauches, zur Darstellung von Tränen- und Speicheldrüsen sowie zur Kontrolle der Nahrungspassage in der Speiseröhre und im Magen-Darmtrakt eingesetzt.






