Computer Tomographie
Was ist Computertomographie (CT)?
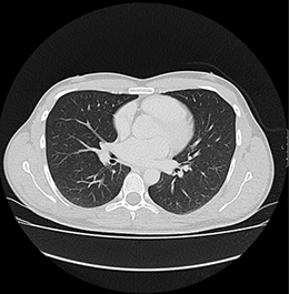
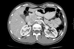
Bei der CT handelt es sich um ein röntgendiagnostisches computergesteuertes Verfahren. Bei der Untersuchung liegt der Patient auf einer beweglichen Liege, die innerhalb weniger Sekunden durch eine kurze Röhre fährt. In dieser wird er von einem Röntgenstrahler umkreist, wobei schichtweise Aufnahmen aus vielen Richtungen entstehen. Aus diesen ergibt sich bei modernen Multislice-Scannern ein dreidimensionaler Datensatz, der anschließend an einem Hochleistungscomputer durch den Radiologen ausgewertet wird.

Wie hoch ist die Strahlenbelastung bei der CT?
Die Strahlenbelastung einer CT ist meistens höher als bei einer konventionellen Röntgenuntersuchung. Der Radiologe führt die Untersuchung in jedem Einzelfall mit geringstmöglicher Röntgenstrahlendosis durch (ALARA-Prinzip). Unsere modernen Multislice-CT-Scanner haben hochempfindliche Detektoren und sind für ihre geringen Dosiswerte bekannt.
Wozu ist eine CT erforderlich?
Die CT wird bei diversen Erkrankungen zur Klärung von Organveränderungen, Blutungen und Flüssigkeitsansammlungen sowie auch bei Tumorverdacht durchgeführt. Auch Verengungen und Verkalkungen in den hirnversorgenden Gefässen, der Körperschlagader, den Herzkranzgefäßen oder Tumoren im Darm können heute mittels CT nachgewiesen werden. Hinsichtlich bestimmter Erkrankungen der Lunge und des Bauchraumes und hinsichtlich der Untersuchung von schwerkranken oder beatmeten Patienten gibt es derzeit häufig keine strahlungsfreien Alternativen. Die CT ist daher in vielen Fällen eine unverzichtbare radiologische Methode zur Erfassung krankhafter Veränderungen im menschlichen Körper, deren Nutzen das Strahlenrisiko bei weitem übertrifft.
Das IRNB setzt hochmoderne Multislice-Scanner mit bis zu 64 Zeilen ein.
Wird bei der CT Kontrastmittel gegeben? Was muss ich bedenken?
Bei Untersuchungen des Bauchraumes wird häufig verdünntes Kontrastmittel oral verabreicht, das in zwei Bechern über etwa 45-60 Minuten getrunken wird.
Darüber hinaus ist es bei bestimmten Untersuchungen erforderlich, jodhaltiges Kontrastmittel über eine Armvene zu injizieren. Das auftretende Wärmegefühl bei der Injektion ist völlig normal.
Bei starker Nierenfunktionseinschränkung, unbehandelter Schilddrüsenüberfunktion oder bekannter Allergie gegen jodhaltige Kontrastmittel darf allerdings kein jodhaltiges Kontrastmittel verabreicht werden. Bringen Sie bitte deshalb aktuelle Laborwerte (Kreatinin-Wert, TSH-Wert) und ggf. Ihren Allergiepass mit.
Teilen Sie uns bitte auch mit, ob Sie ein Diabetesmedikament einnehmen, das Metformin enthält.





