Mammographie
Wußten Sie, dass Brustkrebs ...?
... die häufigste Krebserkrankung bei Frauen ist. Jährlich erkranken ca. 72.000 Frauen neu an Brustkrebs. Statistisch erkrankt jede achte Frau daran. Nach Herz-Kreislauferkrankungen ist Brustkrebs die zweithäufigste Todesursache bei Frauen.
Welches Spektrum umfasst die Mammadiagnostik im IRNB?
- Beratung
- Klinische Untersuchung der Brust
- Digitale Vollfeldmammographie
- Tomosynthese (3D-Verfahren)
- Hochfrequenter Ultraschall
- Kernspintomographie
- Galaktographie (Milchgangsdarstellung mit Kontrastmittel)
- Minimal invasive Biopsien:
- Feinnadelpunktion
- sonographisch gesteuerte Hochgeschwindigkeitsbiopsie
- Stereotaktische Vakuumbiopsie
- kernspintomographisch gesteuerte Vakuumbiopsie
- präoperative stereotaktische Drahtmarkierung
Was passiert bei der Mammographie?
Die Brust wird von der medizinischen Fachkraft zwischen zwei Plexiglasplatten gelagert und wenige Sekunden komprimiert. Pro Brust werden zwei Aufnahmen gemacht. Je nach Struktur und Empfindlichkeit des Drüsengewebes kann dies manchmal als unangenehm empfunden werden. Die meisten Frauen empfinden aber überhaupt keine unangenehmen Sensationen. Die ausreichende Kompression der Brust ist sehr wichtig, da nur so diagnostisch gute, aussagekräftige Aufnahmen erzielt werden können. Kleinste Krebsherde oder Mikroverkalkungen sind nur dann scharf zu erkennen. Die Bildqualität wird verbessert. Auch wird die Strahlendosis bei guter Kompression weiter reduziert.
Mit der digitalen Vollfeldmammographie kann sehr dichtes Gewebe besser beurteilt werden als mit der Film-Folien-Mammographie. Davon profitieren insbesondere jüngere Frauen unter 50 Jahren, die häufig noch dichteres Gewebe haben.
Wie kann ich mich auf eine Mammographie vorbereiten?
Bitte benutzen Sie am Tag der Mammographie kein Deo, Parfüm, Puder oder Körperlotion auf dem Oberkörper und in den Achselhöhlen. Durch diese Substanzen können kleinste Gewebeverkalkungen vorgetäuscht werden.
Wie hoch ist die Strahlenbelastung einer Mammographie?
Die mit der Mammographie verbundene Strahlenbelastung ist bei der digitalen Vollfeldmammographie äußerst gering. Der Nutzen der Untersuchung ist um ein Vielfaches höher einzustufen als das Risiko, dass durch die verabreichten Strahlen ein Krebs ausgelöst wird.
Die effektive Dosis der bei der Mammographie angewendeten Strahlen beträgt 0,2-0,3 mSv, das entspricht 1/10 der mittleren natürlichen jährlichen Strahlung in Deutschland (2,4 mSv), der jeder Mensch ausgesetzt ist. Die Gefahr, durch die Mammographie Krebs hervorzurufen, ist also viel geringer als das Risiko, einen Tumor möglicherweise nicht oder gar zu spät zu entdecken. Zudem nimmt mit zunehmendem Alter auch die Strahlenempfindlichkeit der Brust ab.
Tomosynthese – das haben Sie noch nie gehört?
Hierbei handelt es sich um ein hochmodernes mammographisches 3D-Verfahren. Aus wenigen Einzelaufnahmen werden 1mm-Schichten rekonstruiert, so dass die gesamte Brust in überlagerungsfreien 1mm-Schichten betrachtet werden kann. Die Strahlenbelastung einer Tomosynthese in einer Ebene entspricht etwa der einer Mammographie. Durch die Tomosynthese können mehr Tumore entdeckt werden. Nach bisherigem Wissen kann auch die Abklärungsrate reduziert werden.
Ist die Ultraschalluntersuchung nicht besser für mich?
Die Ultraschalluntersuchung wird mit einem hochfrequenten speziell für die Brust entwickelten Schallkopf durchgeführt. Die Sonographie ist eine wichtige ergänzende Methode zur Mammographie und wird gezielt eingesetzt zur weiteren Abklärung suspekter Befund und bei sehr dichtem Drüsengewebe. Grundlage der Bildgebung sind hier Ultraschallwellen. Es besteht keine Strahlenbelastung für die Patientin. Allerdings kann die Ultraschalluntersuchung Brustkrebsvorstufen nicht erkennen.
Was passiert, wenn ein verdächtiger Befund entdeckt wurde?
Ein verdächtiger Befund wird heute gemäß der Leitlinie ambulant durch eine Nadelbiopsie unter örtlicher Betäubung abgeklärt. Bei der sonographisch gesteuerten Stanzbiopsie werden im Mittel vier kleine Gewebezylinder entnommen und zur histologischen Begutachtung eingeschickt. Liegt verdächtiger Mikrokalk vor, kann dieser unter Röntgenkontrolle bei der stereotaktischen Vakuumbiopsie entnommen werden. Vakuumbiopsien sind auch unter kernspintomographischer Kontrolle möglich.
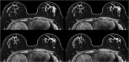
Wann ist eine Kernspintomographie sinnvoll?
Die Mamma-MRT ist ein sehr sensitives Verfahren, das heißt Brustkrebsknoten können sehr empfindliche dargestellt werden. Allerdings kann die Mamma-MRT Befunde auch überschätzen, scheinbar bösartige Befunde stellen sich dann doch als gutartig heraus. Sie wird hauptsächlich zur Abklärung komplexer Sachverhalte gemeinsam mit Mammographie und Ultraschalluntersuchung eingesetzt.
Die Kernspintomographie der Brust (MRM, Mamma-MRT) ist ein Verfahren ohne Strahlenbelastung, aber es muss immer ein Kontrastmittel eingesetzt werden. Die Untersuchung wird in Bauchlage in der Kernspinröhre durchgeführt und dauert etwa 20 Minuten. Falls Sie unter Platzangst leiden, kann dies durch vorherige Gabe eines Beruhigungsmittel gemindert werden. Die gesetzlichen Krankenkassen übernehmen die Kosten nur in Ausnahmefällen und nach vorheriger Anfrage.
Wie unterscheiden sich kurative Mammographie und Screeningmammographie?
Haben Sie Beschwerden oder Symptome, die auf eine Brusterkrankung hinweisen, wird Ihr Arzt Sie zur so genannten kurativen (diagnostischen Mammographie) zuweisen. Die Kosten werden von den Krankenkassen altersunabhängig übernommen.
Beim Mammographie-Screening werden nur beschwerdefreie, symptomlose Frauen untersucht. Frauen im Alter von 50 bis 69 Jahren werden dazu in einem Zwei-Jahres-Intervall von der Zentralen Stelle in Bremen eingeladen. Das Ziel ist es, Brustkrebs oder die Vorstufen möglichst früh zu erkennen. Die Kosten übernehmen die Krankenkassen. Früherkennung ist der beste Weg, die Krankheit zu heilen oder schonender zu behandeln. Weitere Informationen zum Mammographie-Screening-Programm auf unserer Homepage:
www.mammascreening-bremerhaven.de
Frauen ab 70 Jahre können nicht mehr am Screeningprogramm teilnehmen, haben aber wieder die Möglichkeit, auch ohne Beschwerden auf Überweisung eine Mammographie machen zu lassen. Die Kassen übernehmen die Kosten.
Wie steht’s mit der Qualitätssicherung am IRNB?
Die Mammographiegeräte werden arbeitstäglich durch eine Konstanzprüung überprüft. Die Befundung erfolgt wechselnd durch vier in der Mammographie speziell geschulte Radiologen/innen, welche sich jährlich einer Qualitätsüberprüfung unterziehen müssen. Die Befundübermittlung erfolgt unter Angabe der BI-RADS-Klassifikation und der ACR-Klassifikation. Die Befundung erfolgt an hochauflösenden Monitoren (5 Megapixel), die Bilder werden in einem digitalen Archiv (PACS) gespeichert. Die Qualität der hochauflösenden Monitore wird täglich überprüft und dokumentiert.
Auch die medizinischen Fachkräfte nehmen regelmäßig an Fortbildungsveranstaltungen teil.





